Hip Avascular Necrosis

Hip Avascular Necrosis

What is Avascular Necrosis?

Avascular necrosis (AVN), also known as osteonecrosis, is a condition where the bone tissue dies due to a lack of adequate blood supply. Without proper blood flow, the bone weakens and deteriorates, often leading to joint collapse. The hip joint is the most commonly affected area, but AVN can also impact other joints like the knee and shoulder.

The four stages of osteonecrosis. The disease can progress from a normal, healthy hip (Stage I) to the collapse of the femoral head and severe osteoarthritis (Stage IV).  

 

Reproduced and adapted from Beaule PE, Amstutz, HC: Management of ficat stage III and IV osteonecrosis of the hip. J Amer Acad Orthop Surg 2004; 12: 96-105.

Causes and Risk Factors:

It may take from several months to over a year for the disease to progress. It is important to diagnose osteonecrosis early, because some studies show that early treatment is associated with better outcomes. 

Avascular necrosis can result from:

  • Trauma:Fractures or joint dislocations that damage nearby blood vessels.
  • Chronic Steroid Use:Prolonged use of high-dose corticosteroids.
  • Excessive Alcohol Consumption:A significant risk factor that disrupts blood supply to the bones.
  • Other Causes:Certain medical conditions (e.g., sickle cell disease, lupus) and treatments like radiation therapy.

Symptoms

The presentation of symptoms depends on the underlying cause and progression of AVN:

  • Sudden Onset (Post-Injury):Acute pain and limited joint movement.
  • Gradual Onset:Persistent pain, stiffness, and restricted range of motion that worsen over time.
    In advanced stages, pain may occur even at rest, severely impacting daily activities.

Diagnosis

Accurate diagnosis involves:

  • Clinical Evaluation:Assessment of symptoms and medical history.
  • Imaging Tests:
  • X-rays:Detect bone damage in advanced stages.
  • MRI/Bone Scans:Early changes in the bone that may not show up on an x-ray can be detected with an MRI scan.

(Left) An X-ray of a healthy hip joint. (Right)  In this X-ray, the osteonecrosis has progressed to collapse of the femoral head.

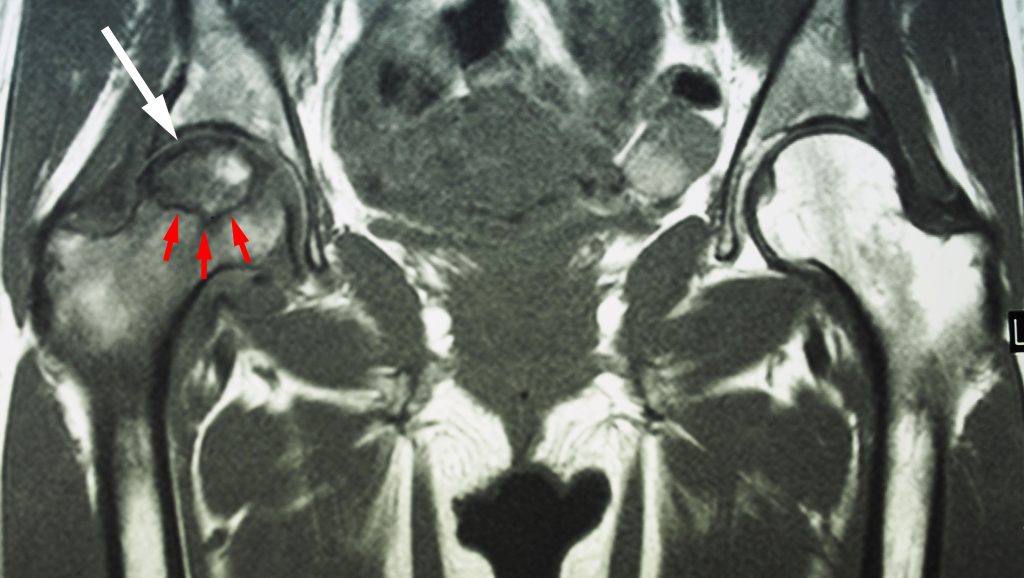
The MRI scan shows osteonecrosis in a patient’s right hip (white arrow). The dark line (red arrows) denotes the border between dead bone and living bone. The patient’s left hip is normal.

Treatment Options:

Treatment aims to preserve the affected joint and prevent further bone damage. The choice between conservative and surgical options depends on the stage of AVN and the extent of bone damage.

  1. Conservative Treatment
    Suitable for early-stage AVN to alleviate symptoms and promote healing:
    • Medications:Non-steroidal anti-inflammatory drugs (NSAIDs) to control pain and inflammation.
    • Rest and Reduced Weight-Bearing:Using crutches to minimize joint stress.
    • Physical Therapy:Exercises to improve joint mobility and strengthen surrounding muscles.
    • Electrical Stimulation:Promotes bone regeneration through direct or skin-applied electrical currents.
  1. Surgical Treatment
    Required for advanced stages of AVN to restore function and relieve pain:
  • Core Decompression:This procedure involves drilling one large hole or several smaller holes into the femoral head to relieve pressure in the bone and create channels for new blood vessels to nourish the affected areas of the hip.
  • Bone Grafting:Transplanting healthy bone tissue from another part of the body to replace damaged bone.
  • Osteotomy (Bone Reshaping):Reshaping the bone to reduce stress on the affected area.
  • Joint Replacement:In cases of severe joint collapse, total hip replacement provides long-term pain relief and restores function.

Recovery & Rehabilitation

  • Early mobilizationwith physiotherapy
  • Customized rehabilitation plansfor each patient
  • Sports medicine and joint preservation focusto keep patients active and independent
  • Ongoing patient educationfor lifestyle adjustments and prevention strategies

Why Choose Care Orthopaedic and Sports Medicine Center?

 Fellowship-trained hip and joint replacement surgeons
 Advanced diagnostic imaging and minimally invasive surgical techniques
 Comprehensive multidisciplinary care with physiotherapists, pain specialists, and rehabilitation experts
 Focus on patient-centered, compassionate care to restore quality of life

Contact us today to learn more or schedule a consultation.

Meddox Are A Medical And Health Department Provider Institutions. Suitable For Healthcare, Medical, Doctor, Dental, Dentist, Pharmacy, Health And Any Related Medical Care Field.

Contact Info

Follow Us

Cart(0 items)

No products in the cart.